GALLERY & TESTIMONIALS
All cases were completed by Dr. Andrews at DENTOLOGY
Dental Implants
Full Mouth Reconstruction
Smile Makeover
Lower Denture Stabilization
Black Line around Crown Fix
Gummy Smile Fix
Videos
Dental Implants Cases
Replacement of failing lower back teeth
Immediate implant molar replacement involves placing a dental implant directly after tooth extraction in a single, minimally invasive procedure. This technique reduces healing time and preserves jawbone structure. It’s ideal for patients seeking swift treatment without extensive surgical intervention, enhancing overall dental care efficiency.
CAD/CAM dentistry uses digital technology for precise, efficient design and manufacturing of dental restorations, offering quicker turnaround and enhanced accuracy compared to conventional methods, which rely on manual impressions and techniques.
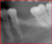
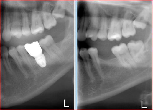
POSTERIOR IMPLANT
This patient came to see Dr. Andrews in our Boston Dental Practice with the desire to replace her missing lower left molar (#19). Since the extraction was done more than a year prior to the visit, more than 50% of the bone volume was lost. Being the second biggest tooth in the mouth, a lower molar requires a strong foundation to be built on.
Studies confirmed, that for long-term success, an implant diameter for such case should be no less than 5 mm. With only 3 mm width of the bone available here, no implant can be placed without a bone graft. The classic (old) treatment planning dictates the two-stage approach. The bone graft (ridge augmentation) is done first. After 4-5 months, when the bony ridge is wide enough (10-12 mm), an implant is placed. Then another 5-6 months are required for the implant to integrate with the bone. Add another month to make a crown. Thus, the total treatment time is 10-12 months.
Using modern, advanced surgical techniques, combined with PRF protocol, Dr. Andrews was able to combine bone graft with the simultaneous implant placement. He augmented the bone ridge wide enough to place 7 mm implant diameter. That is 200% more implant-to-bone surface area compared to a 5 mm one. Such a strong foundation should be able to support the implant crown for the entire patient’s life. This case took Dr. Andrews 5 months to complete, with only one surgery.
Alexander S.
I lost one tooth a long while ago. Recently tooth next to the missing one cracked and became irreparable. Before he started the procedure, Dr. Andrews clearly explained how it would be done. In one visit Dr. Andrews extracted damaged tooth, inserted two implants, and performed a procedure to increase thickness of the my jaw bone. No pain during the procedure, virtually no pain afterward. The entire process was completed in six months. Excellent job by Dr Andrews. I highly recommend him for all your dental needs.
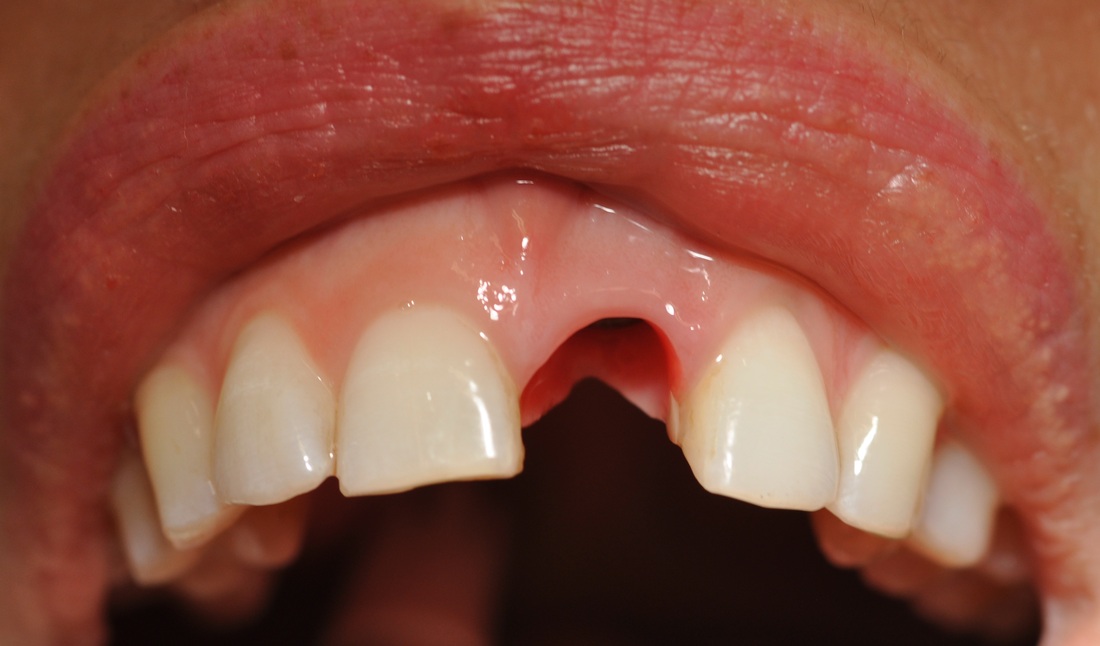
ANTERIOR IMPLANT
A graduate student came to our DENTOLOGY practice with a broken upper front tooth. Dr. Andrews recommended to replace it with a dental implant. Due to high smile line and anatomy of the area, this type of cases is considered to be one of the most challenging for a dentist to treat.
Without any incisions, Dr. Andrews removed the broken root and placed an implant along with a bone graft during the same surgery. Immediately, a temporary crown was attached to two other front upper teeth to form the ideal shape for the soft tissue profile. A few months later, 3D Intraoral scan was taken and Dr. Andrews used Virtual Prosthodontics (CAD) and Reverse Restorative Rehabilitation Protocol to design Full Contour Zirconia (FCZ) screw-retained Implant Crown.
Then the crown was milled (CAM) and sintered by a specialized Milling Center. Once it had been received, the FCZ restoration had been custom shaded and glazed at DENTOLOGY in-house lab. During the patient’s next and final visit, all-ceramic crown was delivered via screw-retained fashion to prevent any complications associated with cement retention under the gum margin (the most common reason for implant failures in intraorally cemented cases).
Mariya G.
Dr. Andrews is a highly qualified practicing dentist. All my experiences have been positive, with remarkable outcomes. Besides being caring and attentive to all my needs, Dr. Andrews responds quickly to any questions at any time. Prior to starting treatments with Dr. Andrews at the Boston office, I had lost all faith in the dentistry field but Dr. Andrews changed back my way of thinking. I would highly recommend Dr. Andrews.
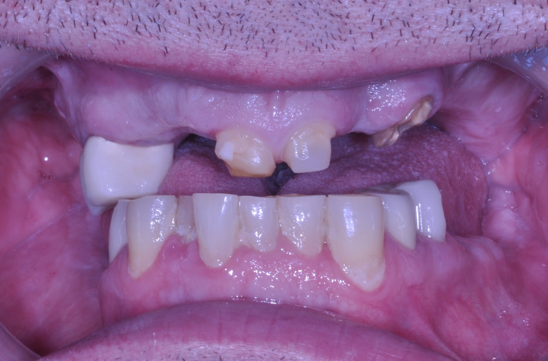
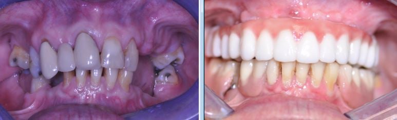
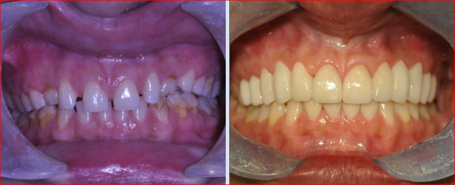
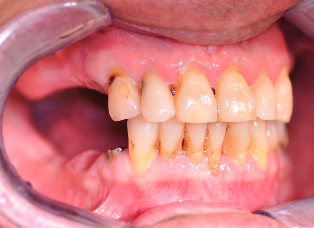
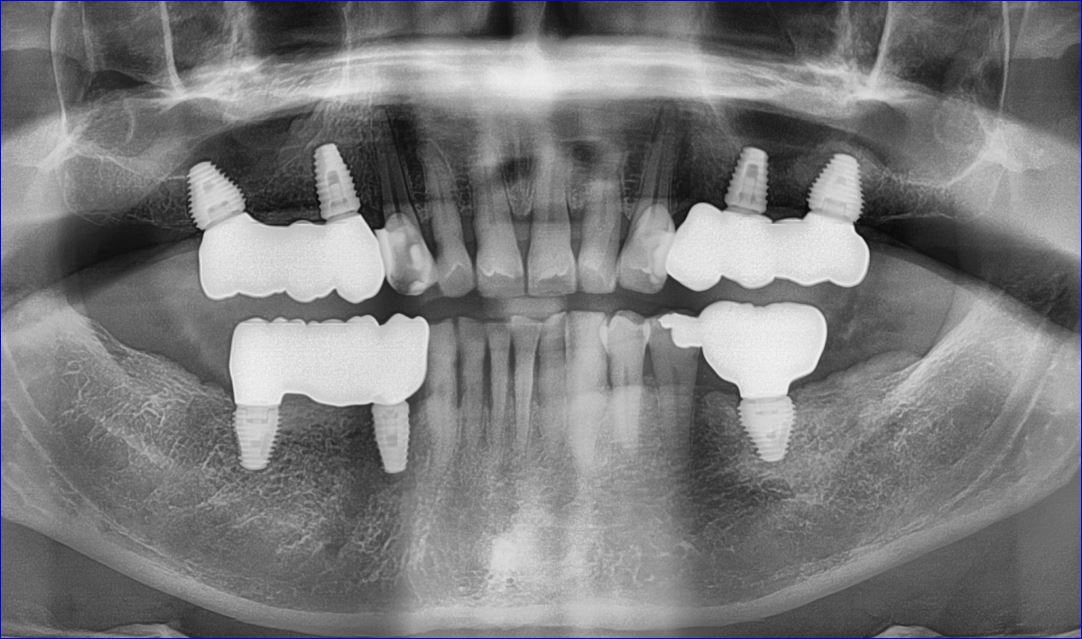
SIMULTANEOUS REHABILITATION OF ALL BACK TEETH
55 years old male had lost posterior teeth in all 4 quadrants, had collapsed bite with moderate TMJ arthrosis.
Dr. Andrews performed a SINGLE surgery – 7 implants placed along with few extractions and bi-lateral crestal sinus lifts.
Restored 100% digitally, utilizing CAD-CAM technologies, all screw-retained full contour zirconia implant crowns with life-time warranty for breaking/chipping.
Collapsed bite had been opened with Gneuromuscular technique. Occlusion was equilibrated 2 weeks after delivery with TENS. Cavities on front teeth were filled with tooth-colored composite fillings.
Kevin T.
As always, I was taken in right away and was given immediate attention. Dr. Andrews is the best dentist I have ever been to, period. The office staff is always friendly, nice and above all else, professional. I’m always greeted by my name upon entering. I had major reconstructive surgery, requiring multiple implants in all quadrants of my jaw bone. Needless to say, prior to this, Dr. Andrews listened to my request, he then formulated a strategy, discussed with me and then implemented. Now, not only am I a handsome man, but a handsome man with a great smile.
Do not wait, hesitate nor vacillate…call him. Dr Andrews has 2 offices, one in the ‘burbs of Woburn and the other in the Boston Seaport district.
Thank You Dr. Andrews for improving my quality of life.
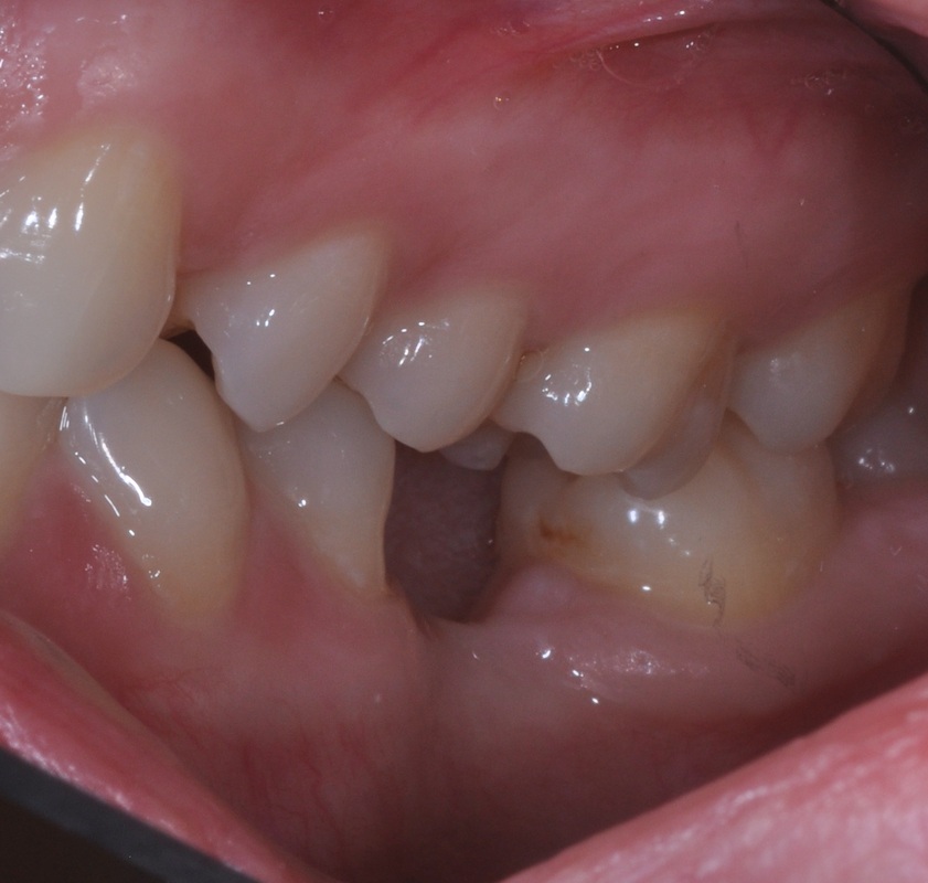
IMMEDIATE LOWER MOLAR REPLACEMENT
This type of cases Dr. Andrews encounters on a regular basis.
A 30 year old was concerned with the discomfort next to his impacted wisdom tooth and pain associated with cold and hot temperatures around the decayed back teeth.
After thorough dental examination Dr. Andrews recommended to extract the wisdom tooth (#17) and the second molar (#18) due to severe decay and poor prognosis for both teeth and to replace the second molar (#18) with a dental implant.
During only one 45-minute surgery both teeth were removed, a minor bone graft was placed and a wide-diameter (7 mm) dental implant was immediately inserted to replace the second molar. Four months later , #18 implant was restored with an all-ceramic crown.
Revolutionary digital scanning technology and CAD/CAM fabrication process had been used by Dr. Andrews to create an ideal emergence profile, ideal bite and natural anatomy for the crown.
Cavities on other teeth were treated with mercury-free, bio-mimetic white composite fillings.
L. N.
Dr. Andrews placed 2 molar implants a year and a half ago. The surgery was painless, and the healing only moderately painful for a week or so. I’m very pleased with the results, they look and feel just like my natural teeth. I think Dr. Andrews and his excellent team are the best in their fields! I have the utmost confidence in his dental surgery and dental work, and my confidence is not won easily… His practice is a truly a state of the art operation, unlike many dentists who still use decades old technology. Have you ever had to have dental impression made for a crown or night guard, and had to endure the discomfort of the metal tray digging in and the awful somewhat suffocating sticky goop? Not with Dr. Andrews! He utilizes a state of the art oral laser scanner, which he shines around your mouth and teeth which produces a digital model that is far more precise than the horrible goopy stuff impressions. He then uses the digital model to accurately produce crowns and night guards using state of the art digital manufacturing equipment for a very precise fit. Dr. Andrews is a caring, very talented, and superbly competent dentist and surgeon utilizing state of the art computer and dental technology. This shows in every aspect of the way his practice is run, from electronic medical records, to a very in-depth and informative website, and to communication via email. I highly recommend Dr. Andrews and his team!
SEVERAL TEETH REPLACEMENT
This 65 year old man had pain in his lower jaw, during initial emergency exam after recent extraction of the lower left molar done with another dentist.
The patient suffers from Type 2 insulin-dependent diabetes. For unknown reason, the extraction site had not been closed with sutures by his previous dentist. On the second day after extraction, a “dry socket” had developed. This infection had caused moderate loss of bone due to the inflammatory process.
The treatment performed by Dr, Andrews included :
- Management of the dry socket.
- Simultaneous placement of three dental implants, combined with bone graft.
- PRF protocol was also used, in order to decrease the likelihood of complications (infection, bleeding), to accelerate the healing process and to decrease post-operative discomfort.
All three implants were successfully integrated and restored 6 months after the surgery.
Lisa P.
Dr. Andrews and his staff are wonderful! They have put my fear of the Dentist at ease and developed a plan to get my teeth and mouth healthy again. I am so thankful and happy that I found them. I highly recommend Dr. Andrews!
Full Mouth Reconstruction Cases
ALL-ON-6 BRIDGE
This patient presented with the poor prognosis for his upper teeth, severe bone loss and bite problems.
After thorough evaluation Dr. Andrews recommended ALL-ON-6 fixed implant bridge. The entire surgical stage, including extractions of all remaining upper teeth, bi-lateral sinus lift (right and left side), multiple bone grafts and placement of all 6 dental implants was accomplished by Dr. Andrews in one visit. Six months later the full upper arch dental implant bridge was delivered.
Paul M.
After years of going to the dentist and spending a lot of money on my teeth, I ended up having six teeth left on the top which kept on breaking. I saw a lot of different dentists to work on them and I got no satisfaction. Finally, I found Dr Anton Andrews. I went to his Boston office and he explained what he can do for me. I was so satisfied with the plan and went on having the six implants with thirteen teeth. I was so impressed with the whole process…did not have any pain. He did what he exactly have told me. Now, I cannot stop smiling which I was so hesitant to do before I got my new beautiful new set of teeth. I would like to thank Dr Andrews and staff for taking good care of me during the whole process. I recommend you to anybody for great dental work….
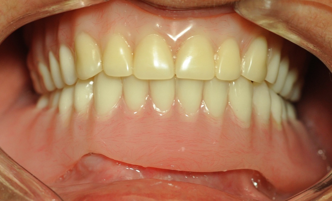
FULL MOUTH RECONSTRUCTION
This is one of the most difficult, so called “multidisciplinary” cases.
Wide spectrum of dental techniques and clinical procedures was used during this complex dental therapy. Among those were the following:
- Neuromuscular Diagnosis and Treatment of TMD-TMJ
- Dental Implants, Bone grafts & Sinus Lifts
- CAD/CAM Digital Restorative Dentistry
- Cosmetic All-ceramic Veneers, Crowns and Dental Bridges
- Teeth Extractions
- Laser Dentistry, Digital X-Rays, Virtual Smile Design
- Bio-mimetic Dentistry
Longen K.
I have been a patient of Dr. Andrews for many years. I am so happy that I found this wonderful dentist. I lost most of my teeth, had problems with TMJ and my bite was off.
My life was greatly affected by my dental problems, I couldn’t chew and was in chronic pain. Dr. Andrews fixed my teeth, placed dental implants and made beautiful set of new dazzling choppers. Literally pain free dentistry, great experience and my life is back on track. Thank you Dr. Andrews
FULL UPPER DENTAL BRIDGE
75-year old teacher was referred to DENTOLOGY by a family member who already had dental implant treatment completed by Dr. Andrews.
She had only few teeth left and the ones remaining didn’t make up a great smile. Full Arch Fixed Dental Implant Bridge option was chosen to rehabilitate her upper arch.
During a single surgery all remaining upper teeth were removed, bone grafts, sinus lifts were done and five dental implants were placed. A few months later this woman was smiling with a million-dollar smile she so long dreamed about.
Amanda R.
AMAZING! Wish I’d found this place a year ago. Dr. Andrews is very nice, as is the hygienist…State of the art equipment, and I appreciate how they explain everything about what they’re doing/about your teeth along the way. My teeth look great, and I was X-Ray’d, picked, flossed and cleaned in under 45 minutes!!
Smile Makeover
COMPLETE CONSERVATIVE SMILE MAKEOVER
This beautiful young lady came to our cosmetic dental practice with the desire to get a better smile.
Her previous Invisalign orthodontic treatment done by another dentist had failed to deliver any result due to the poor treatment planning. After completing a detailed smile analysis, Dr. Andrews recommended a new physiological (Neuromuscular) bite in order to:
- improve the lower face proportions
- to balance and relax the muscles
- to increase the lengths of the teeth
Once her new bite was established, the restorative phase of the cosmetic dental treatment had followed with 12 upper and 5 lower teeth receiving metal-free, all-ceramic restorations equilibrated into perfect balance with her muscles and joints (TMJ). Cavities on the remaining teeth were treated with conservative bio-mimetic, mercury-free composite white fillings.
Lyra R.
I’ve been with Dr. Andrews for almost 5 years for general dentistry and I’ve never had any complaints! Dona, my hygienist, is lovely, sweet, and skilled. Dr. Andrews is funny, thoughtful, and seemingly very good at his job. I tend to be an anxious dental patient but the atmosphere here is calm, efficient, and sympathetic. My teeth have never looked better!
COMPREHENSIVE DENTAL REHABILITATION
A patient presented with partial teeth loss, periodontal disease, vertical bite collapse, wear on remaining teeth and smile issues.
The patient also suffered from frequent headaches, sore neck muscles, pain and clicking in both TMJs. After thorough and comprehensive evaluation- including neuromuscular diagnostic workup- a new physiological bite was established.
Missing teeth were replaced with dental implants. Teeth, damaged by bruxism (clenching and grinding), were restored with new myobite using all-ceramic veneers and crowns. During his 3-year follow-up visit the patient reported no headaches and no pain in the TMJs, improved sleep and dramatically decreased soreness of the neck muscles.
Marc F.
I had 2 incredible implants placed by Dr Andrews at his Downtown Boston location.
The experience and the results could not have been any better. He is a flawless surgeon
when peforming the procedure. He has a relaxing manner to him and is always willing to answer questions. Unlike other implant surgeons, Dr Andrews can perform all aspects of the implant procedure.
I chose Dr Andrews to do the procedure after I had interviewed (4) other dentists in the area. I appreciated that he only suggested procedures that were absolutely necessary and that would be sucessfull. Other dentists would suggest dental work that was not needed. Dr Andrews was the most qualified by far and he charged the least.
The staff at Dentology are also a group of great people and technicians, that make a
new patient (which I was) very comfortable.
LIMITED SMILE MAKEOVER
This patient came to our office in Boston with the desire to improve her smile.
Unfortunately, she could afford only a very limited number of teeth to be fixed. As one of the most experienced Cosmetic Dentists in Boston, Dr. Andrews was able to make a difference with only four all-ceramic crowns and one cosmetic filling.
Christine M.
The office is totally amazing with a lot of advanced technology.
Lower Denture Stabilization
DENTURE STABILIZATION
This patient’s existing old partial denture became loose after one of her teeth had broken. After thorough dental examination Dr. Andrews recommended to extract remaining lower teeth and immediately place two regular size dental implants in order to stabilize a new full lower denture.
During only one surgery three lower teeth were removed, two dental implants were placed. Three months later two snap-on attachments were placed on the integrated implants.
Her speech and chewing ability has instantly significantly improved. The satisfied patient regained quality of life she desired and expressed desire to replace the old upper denture with a new one as well.
Joshua C.
Dr. Andrews and his staff are absolutely amazing. I had been putting off two implants for 6 years using a flipper (false teeth). I started with Dr. Andrews back in October knowing I would have multiple procedures to complete the implant process including bone grafting.
Dr. Andrews explained everything so I could understand it, was very transparent on cost, and his team worked with my insurance company to get the best coverage possible minimizing my out of pocket expense. His office is a short walk from the financial district and they were very flexible in scheduling.
Even after my major work was completed, I am going to continue to go to Dr. Andrews for regular cleanings. Top notch service.
Black Line Around Crowns Fix
FIXING THE BLACK LINE AROUND THE CROWNS
This young woman came to our DENTOLOGY Woburn practice with the desire to replace her upper front crowns to eliminate “the black line around the gums”.
After thorough cosmetic evaluation, Dr. Andrews also suggested to do the laser gum re-contouring in order to reduce her “gummy smile”. The soft tissue diode laser was ideal to be used in this case. Two old upper front crowns were replaced with All-Ceramic crowns.
Jen S.
I had a very good experience here. Dr. Andrews extracted my molar and inserted an implant. I did a lot of research before choosing him, and actually met with two other people before settling on him. Out of the three of them, he impressed me the most with his knowledge and expertise, so I chose him to do the procedure. I’d had other work done on my teeth – crowns, root canals, etc. – but this was the most complicated thing so far and I was nervous about having it done right. Actually I was VERY nervous, because I’m afraid of dentists, but everything went smoothly. It is all over now and I’m very happy with the result.
Gummy Smile Fix
TREATING THE GUMMY SMILE
This patient desired to improve the appearance of her gummy smile (excessive gingival display).
Dr. Andrews performed a periodontal evaluation, which revealed 4-5 mm pseudo pockets.
The soft tissue diode laser was ideal for this case.
The immediate postoperative results were in line with patient’s aesthetic goals to eliminate her gummy smile.
The healing was completed in about a week. She was very pleased with the final result and reported that she had not needed any pain medications after the procedure.
Nicole B.
These guys are amazing. I landed in Boston for a conference and I had a terrible toothache. I called around a couple offices at 5:30 on Thursday afternoon. I needed to be seen ASAP. The receptionist at Dentology was extremely courteous and sympathetic. They gave me an appointment within 30 minutes of my call. When I arrived at the office, I was greeted and given a couple forms to fill out on the computer. They took me within 10 minutes of my arrival. Dr Andrews saw me right away and took excellent care of me. He was super friendly and very professional. I actually liked Dr Andrews better than my dentist in L.A. I would totally go back to him but unfortunately I go back to L.A. on Sunday. And his prices are very reasonable…Bottom line, I highly recommend this office. A+++++++++
