All Teeth Replacement
Dr. Anton Andrews is a biomimetic dentist dedicated to harmonizing dental care with the principles of Nature. By mimicking natural structures, function and processes he provides minimally invasive treatments that promote long-term oral health. His approach emphasizes preservation, restoration, and biocompatibility, ensuring that every patient receives care that aligns with their natural biology.
Dr. Andrews possesses advanced surgical training and extensive experience in all areas of Dental Implantology, including bone grafting, sinus lifts, and multiple implant placements. His expertise enables him to complete the surgical phase in one visit for 90% of cases. As a world-renowned authority in digital dentistry, he employs digital implant planning, Digital Smile Design (DSD), and guided implant placement, achieving exceptional outcomes.
Additionally, Dr. Andrews uses special surgical techniques and protocols to significantly reduce post-operative discomfort, shorten healing times, accelerate implant and graft integration, and lower the risk of complications. His commitment to precision is further enhanced through CAD/CAM restorative protocols and 3D printing, ensuring that all implant restorations are delivered with the utmost accuracy.
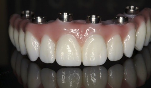
IMPLANT SUPPORTED FIXED BRIDGE
Chip-free, precision milled CAD/CAM Zirconia Oxide Ceramics is the best treatment option for replacing missing teeth. Dr. Andrews is one of few dentists in Greater Boston, who offers this amazing dental technology to his patients. It has no metal, no acrylic, or any other type of resin that often chips or degrades over time. It is made of 100% Zirconia Ceramics in the Certified USA dental laboratory. It comes with DENTOLOGY life-time free warranty.
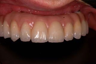
Full arch Implant Bridge replaces all of your upper and/or lower teeth. They are permanently supported on four or six dental implants. Prettau Zirconia Implant Bridge looks, feels and functions just like healthy, natural teeth. It is amazing what modern dentistry has to offer for all teeth replacement.
Implant supported bridge won’t slip or slide when you speak and chew food.
It is securely attached to your jawbone implants. It does not sits on your gums, like a removable denture – so an implant bridge can’t move and create sore spots on sensitive gum tissue.
Dentures don’t provide the stimulation needed to support bone health, so denture wearers lose bone mass over time and develop a “sunken” facial contour that makes them look older than their years. Prettau Zirconia Implant Bridge helps to prevent bone loss and preserve your facial appearance.
Full Arch All-On-X Fixed Implant Bridge.
From $19,999 per Arch
ALL-ON-7 CASE. UPPER, FULL ZIRCONIA BRIDGE.
45y.o male initially presented with failing upper dentition due to chronic advanced periodontitis (gum disease).
After thorough evaluation and diagnosis, which included Cone Beam CT scan, Digital Smile Design – DSD, 3D- intraoral Scanning etc, the treatment plan had been formulated.
All upper teeth had been extracted utilizing special surgical techniques for bone preservation and bone grafting. Among those were: Partial Extraction Therapy (PET), Bilateral Sinus Elevation (Sinus Lift).
Seven dental implants had been inserted using Digital Guided Placement Method. The surgical phase had been finalized with soft tissue grafting to insure proper gum seal around dental implants for long term success and to prevent peri-implantitis.
After completion of bone integration (healing) The final prosthetic phase had been accomplished with fabrication of the full contour zirconia non-removable (fixed) bridge.
ALL-ON-6 BRIDGE CASE
This patient presented with the poor prognosis for his upper teeth, severe bone loss and bite problems.
After thorough evaluation Dr. Andrews recommended ALL-ON-6 fixed implant bridge. The entire surgical stage, including extractions of all remaining upper teeth, bi-lateral sinus lift (right and left side), multiple bone grafts and placement of all 6 dental implants was accomplished by Dr. Andrews in one visit. Six months later the full upper arch dental implant bridge was delivered.
Paul M.
After years of going to the dentist and spending a lot of money on my teeth, I ended up having six teeth left on the top which kept on breaking. I saw a lot of different dentists to work on them and I got no satisfaction. Finally, I found Dr Anton Andrews. I went to his Boston office and he explained what he can do for me. I was so satisfied with the plan and went on having the six implants with thirteen teeth. I was so impressed with the whole process…did not have any pain. He did what he exactly have told me. Now, I cannot stop smiling which I was so hesitant to do before I got my new beautiful new set of teeth. I would like to thank Dr Andrews and staff for taking good care of me during the whole process. I recommend you to anybody for great dental work…
BETTER THAN DENTURES
Dr. Andrews’s patients who choose an implant-supported bridge or implant over-denture over a regular denture, say they have a better ability to chew, have improved appearance, are more confident, maintain a healthier diet, and feel happier and better about themselves. They report that their implant-supported bridges or dentures feel more like “real” teeth than regular dentures, because they are locked firmly into place, whereas the regular dentures may occasionally slip off the gums.
Eat better
As the jawbone shrinks, your chewing efficiency reduces, making it difficult to eat certain foods. Implant bridges and dentures can restore chewing efficiency comparable to that of natural teeth, allowing you to enjoy foods like apples, steak, and corn.
Speak better
Implant-supported bridges and dentures allow patients to speak with confidence in a relaxed and natural tone. Ill-fitting dentures slip and slide around the mouth. The facial muscles become tense in an attempt to hold the teeth in place, often resulting in mumbling, slurred speech, or clicking noises.
Feel Better
Implant bridges are completely fixed, non-removable replacement of your natural teeth. They fill and look like natural teeth.
Implant over-dentures are effectively anchored to your jaw via the snap-on type of attachment. Although they can be removed for cleaning, they are otherwise attached, providing a stable surface for eating and laughing. Additionally, you regain nearly all the abilities you had with your natural teeth, you will feel more confident and enjoy life more fully.
At DENTOLOGY our ultimate goal is to make implant-supported teeth replacements that are attractive, balanced, stable, sturdy, and very comfortable. Your confidence and great peace of mind when you smile, is the best reward for us.
DR. ANDREWS
COMPARED TO OTHER IMPLANT DENTISTS
Most dentists charge $40,000 – $60,000 per arch; at DENTOLOGY we offer ALL-ON-X Fixed Implant Bridge for half of the amount: From $19,999 per arch. We are able to offer this such price by using CAD/CAM milling technology, TRIOS digital scanner precise 3-minute optic impressions, streamlining the procedures and having an in-house implant laboratory. There is no other office in Greater Boston that offers state-of-the-art advanced modern restoration for such price.
WARRANTY
Most Dentists
Very rarely they can guarantee crowns from breaking and/or chipping for life.
Dr. Andrews
Life-time warranty for breaking/chipping on crowns and 10-year limited implant warranty!
TECHNIQUE
Most Dentists

An estimated 99% of dentists still use intra-oral impressions and stone models to restore and design teeth and dental implants. This old school technique yields 40-micron precision (0.0016 inch) at its best…
Dr. Andrews

Dr. Andrews is one of the most advanced CAD/CAM dentists in the world. He uses advanced intraoral digital 3D scanning technology with 10-micron precision (0.0004 inch) which produces a perfect replica for tooth restoration and implant placements…
QUALITY CARE
Most Dentists
Try to find an easy and quick way to treat complicated cases (for example, using the All-On-4 technique). They also use extra-long (ZYGOMA)…
Dr. Andrews
Starts every treatment with thorough diagnostics and case planning. He uses neuromuscular approach to achieve equilibrium…
BONE GRAFT
Most Dentists

Dealing with narrow bone ridges, other dentists do not know how to create enough bone width for wide implants…
Dr. Andrews

Dr. Andrews uses advanced minimally invasive surgical techniques to create bone where he needs it…
IMPLANT WIDTH
Most Dentists

Implants are not placed immediately after extractions. Most dentists wait 4–6 months and their patients loose bone volume (width)…
Dr. Andrews

Places implants immediately after extracting teeth. Dr. Andrews uses no less than 6–7 mm wide implant diameter for molars…

