Multiple Teeth Replacement
Advanced surgical training and extensive experience in all fields of Dental Implantology, including Bone Grafting, Sinus Lifts and Multiple Dental Implants placements allow Dr. Andrews to complete a surgical phase in one visit in 95% of all cases. Being a world-renowned expert in Digital Dentistry, Dr. Andrews utilizes Digital Implant Planning , Digital Smile Design (DSD) and Guided Implant Placement to achieve unparalleled success. Use of Platelet Rich Plasma/Fibrin, or PRP/PRF, dramatically reduces post-operative discomfort, shortens healing time, accelerates integration of implants & grafts and decreases the likelihood of most complications. CAD/CAM restorative protocols and 3D printing are used for all Implant restorations to be delivered with the highest level of precision.
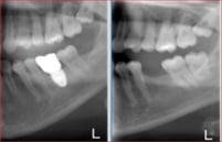
SIMULTANEOUS REHABILITATION OF ALL BACK TEETH
55 years old male had lost posterior teeth in all 4 quadrants, had collapsed bite with moderate TMJ arthrosis.
Dr. Andrews performed a SINGLE surgery – 7 implants placed along with few extractions and bi-lateral crestal sinus lifts.
Restored 100% digitally, utilizing CAD-CAM technologies, all screw-retained full contour zirconia implant crowns with life-time warranty for breaking/chipping.
Collapsed bite had been opened with Gneuromuscular technique. Occlusion was equilibrated 2 weeks after delivery with TENS. Cavities on front teeth were filled with tooth-colored composite fillings.
Kevin T.
As always, I was taken in right away and was given immediate attention. Dr. Andrews is the best dentist I have ever been to, period. The office staff is always friendly, nice and above all else, professional. I’m always greeted by my name upon entering. I had major reconstructive surgery, requiring multiple implants in all quadrants of my jaw bone. Needless to say, prior to this, Dr. Andrews listened to my request, he then formulated a strategy, discussed with me and then implemented. Now, not only am I a handsome man, but a handsome man with a great smile.
Do not wait, hesitate nor vacillate…call him. Dr Andrews has 2 offices, one in the ‘burbs of Woburn and the other in the Boston Seaport district.
Thank You Dr. Andrews for improving my quality of life.
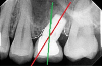
Replacement of failing lower back teeth
Immediate implant molar replacement involves placing a dental implant directly after tooth extraction in a single, minimally invasive procedure. This technique reduces healing time and preserves jawbone structure. It’s ideal for patients seeking swift treatment without extensive surgical intervention, enhancing overall dental care efficiency.
CAD/CAM dentistry uses digital technology for precise, efficient design and manufacturing of dental restorations, offering quicker turnaround and enhanced accuracy compared to conventional methods, which rely on manual impressions and techniques.

$2,999 Dental Implant Special
Includes the surgical placement of a Dental Implant, the Implant Abutment (Prefabricated), and the all-ceramic Implant Crown only for a single tooth. If other treatments are needed such as: extractions, bone graft, sinus lift, and temporary teeth – there will be additional charges.
*Does not apply to front upper teeth implants (Teeth #6, 7, 8, 9,10, 11), this special can be withdrawn without notice.
DR. ANDREWS
COMPARED TO OTHER IMPLANT DENTISTS
WARRANTY
Most Dentists
Very rarely they can guarantee crowns from breaking and/or chipping for life.
Dr. Andrews
Life-time warranty for breaking/chipping on crowns and 10-year limited implant warranty!
TECHNIQUE
Most Dentists

An estimated 99% of dentists still use intra-oral impressions and stone models to restore and design teeth and dental implants. This old school technique yields 40-micron precision (0.0016 inch) at its best…
Dr. Andrews

Dr. Andrews is one of the most advanced CAD/CAM dentists in the world. He uses advanced intraoral digital 3D scanning technology with 10-micron precision (0.0004 inch) which produces a perfect replica for tooth restoration and implant placements…
QUALITY CARE
Most Dentists
Try to find an easy and quick way to treat complicated cases (for example, using the All-On-4 technique). They also use extra-long (ZYGOMA)…
Dr. Andrews
Starts every treatment with thorough diagnostics and case planning. He uses neuromuscular approach to achieve equilibrium…
BONE GRAFT
Most Dentists

Dealing with narrow bone ridges, other dentists do not know how to create enough bone width for wide implants…
Dr. Andrews

Dr. Andrews uses advanced minimally invasive surgical techniques to create bone where he needs it…
IMPLANT WIDTH
Most Dentists

Implants are not placed immediately after extractions. Most dentists wait 4–6 months and their patients loose bone volume (width)…
Dr. Andrews

Places implants immediately after extracting teeth. Dr. Andrews uses no less than 6–7 mm wide implant diameter for molars…

