Single Tooth Implant
Advanced surgical training and extensive experience in all fields of Dental Implantology, including Bone Grafting, Sinus Lifts and Multiple Dental Implants placements allow Dr. Andrews to complete a surgical phase in one visit in 85% of all cases. Being a world-renowned expert in Digital Dentistry, Dr. Andrews utilizes Digital Implant Planning , Digital Smile Design (DSD) and Guided Implant Placement to achieve unparalleled success. Use of Platelet Rich Plasma/Fibrin, or PRP/PRF, dramatically reduces post-operative discomfort, shortens healing time, accelerates integration of implants & grafts and decreases the likelihood of most complications. CAD/CAM restorative protocols and 3D printing are used for all Implant restorations to be delivered with the highest level of precision.
BACK (POSTERIOR) TEETH
MOLAR AND PRE-MOLAR IMPLANT REPLACEMENT
Under ideal conditions, replacing posterior (back) teeth with dental implants is a straightforward process. As an experienced Dental Implantologist, Dr. Andrews recommends to start planning for a tooth replacement with a dental implant before the tooth is extracted.
The reason is simple – the bone is widest around natural roots of the teeth. Without appropriate planning after an extraction, around 50% of the bone volume is lost within 4-6 months, usually in horizontal dimension. If there is not enough bone, it has to be added with a procedure called Bone Graft. In addition, natural teeth and supporting tissues near where the implant will be placed must be healthy.
The shortest treatment time for a complete implant (including surgeries and placing the permanent crown) is about five months for lower jaw and six months for upper jaw. However, the process can last up to a year or more, particularly if bone needs to be built up first. In 85% of his cases, Dr. Andrews is able to extract the tooth, perform bone graft (if necessary) and place an implant at the same time in a single visit.

$2,999 Dental Implant Special
Includes the surgical placement of a Dental Implant, the Implant Abutment (Prefabricated), and the all-ceramic Implant Crown only for a single tooth. If other treatments are needed such as: extractions, bone graft, sinus lift, and temporary teeth – there will be additional charges.
*Does not apply to front upper teeth implants (Teeth #6, 7, 8, 9,10, 11).
*Does not apply to the second molars (teeth #2,15,18,31), This special can be withdrawn without notice.
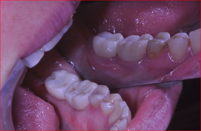
LOWER MOLAR IMPLANT CASE
This patient came to see Dr. Andrews in our Boston Dental Practice with the desire to replace her missing lower left molar (#19). Since the extraction was done more than a year prior to the visit, more than 50% of the bone volume was lost. Being the second biggest tooth in the mouth, a lower molar requires a strong foundation to be built on.
Studies confirmed, that for long-term success, an implant diameter for such case should be no less than 5 mm. With only 3 mm width of the bone available here, no implant can be placed without a bone graft. The classic (old) treatment planning dictates the two-stage approach. The bone graft (ridge augmentation) is done first. After 4-5 months, when the bony ridge is wide enough (10-12 mm), an implant is placed. Then another 5-6 months are required for the implant to integrate with the bone. Add another month to make a crown. Thus, the total treatment time is 10-12 months.
Using modern, advanced surgical techniques, combined with PRF protocol, Dr. Andrews was able to combine bone graft with the simultaneous implant placement. He augmented the bone ridge wide enough to place 7 mm implant diameter. That is 200% more implant-to-bone surface area compared to a 5 mm one. Such a strong foundation should be able to support the implant crown for the entire patient’s life. This case took Dr. Andrews 5 months to complete, with only one surgery.
Alexander S.
I lost one tooth a long while ago. Recently tooth next to the missing one cracked and became irreparable. Before he started the procedure, Dr. Andrews clearly explained how it would be done. In one visit Dr. Andrews extracted damaged tooth, inserted two implants, and performed a procedure to increase thickness of the my jaw bone. No pain during the procedure, virtually no pain afterward. The entire process was completed in six months. Excellent job by Dr Andrews. I highly recommend him for all your dental needs.
FRONT (ANTERIOR) TEETH
INCISORS AND CANINES IMPLANT REPLACEMENT
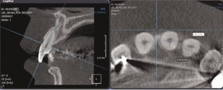
One of the biggest challenges in Dental Implantology is the replacement of the upper central incisor. These CT-scan cross sections of the front upper teeth demonstrate normal anatomical features, which make the job of Dental Implantologist very difficult:
- Paper-thin alveolar bone around the roots of the teeth
- Angulated 15-20 degree long axis of the tooth
- Long anatomical crown (increased lateral load on the future implant compared to the back teeth)
- 4-5 mm overbite (overlap with the lower teeth)
Besides the surgical challenges, there are also the cosmetic ones. Upper central incisors anatomy makes up to 85% of your smile. Dr. Andrews has to make a new implant crown to match another tooth in shape, texture, volume, shade and translucency, among other factors.
Due to the nature of front tooth replacement, the average cost for a front tooth dental implant with bone grafting is $6200
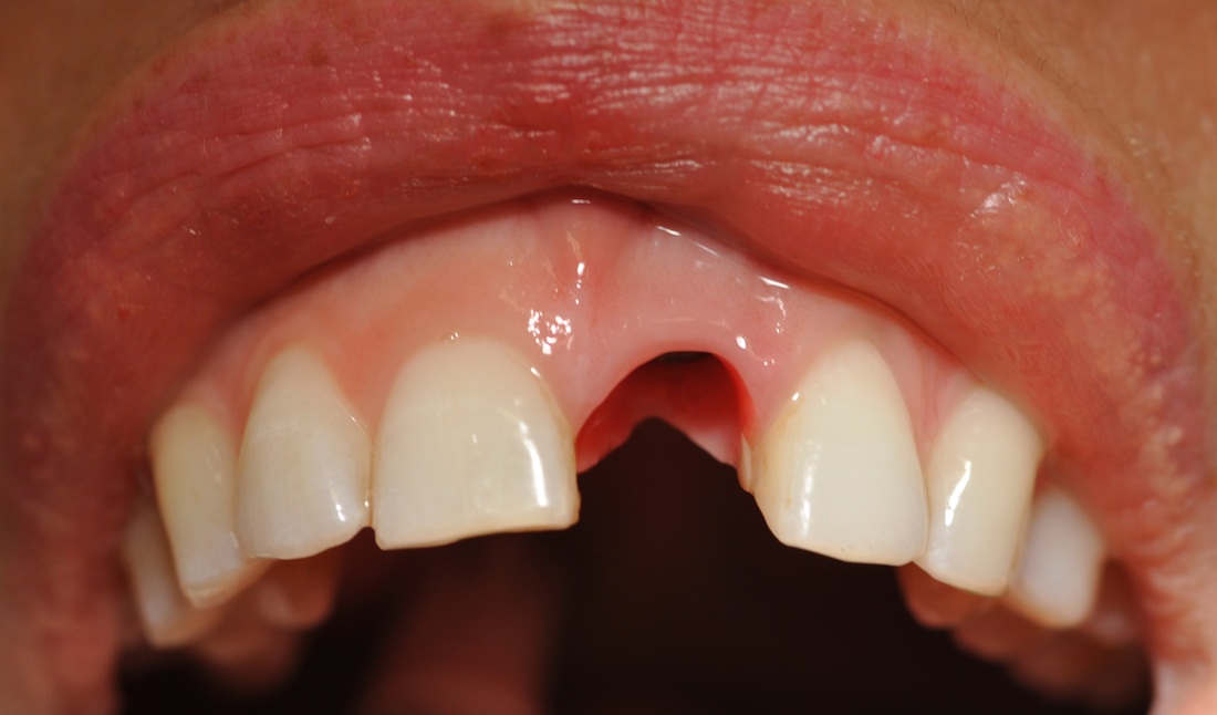
INCISOR IMPLANT CASE
A graduate student came to our DENTOLOGY practice with a broken upper front tooth. Dr. Andrews recommended to replace it with a dental implant. Due to high smile line and anatomy of the area, this type of cases is considered to be one of the most challenging for a dentist to treat.
Without any incisions, Dr. Andrews removed the broken root and placed an implant along with a bone graft during the same surgery. Immediately, a temporary crown was attached to two other front upper teeth to form the ideal shape for the soft tissue profile. A few months later, 3D Intraoral scan was taken and Dr. Andrews used Virtual Prosthodontics (CAD) and Reverse Restorative Rehabilitation Protocol to design Full Contour Zirconia (FCZ) screw-retained Implant Crown.
Then the crown was milled (CAM) and sintered by a specialized Milling Center. Once it had been received, the FCZ restoration had been custom shaded and glazed at DENTOLOGY in-house lab. During the patient’s next and final visit, all-ceramic crown was delivered via screw-retained fashion to prevent any complications associated with cement retention under the gum margin (the most common reason for implant failures in intraorally cemented cases).
Mariya G.
Dr. Andrews is a highly qualified practicing dentist. All my experiences have been positive, with remarkable outcomes. Besides being caring and attentive to all my needs, Dr. Andrews responds quickly to any questions at any time. Prior to starting treatments with Dr. Andrews at the Boston office, I had lost all faith in the dentistry field but Dr. Andrews changed back my way of thinking. I would highly recommend Dr. Andrews.
DR. ANDREWS
COMPARED TO OTHER IMPLANT DENTISTS
WARRANTY
Most Dentists
Very rarely they can guarantee crowns from breaking and/or chipping for life.
Dr. Andrews
Life-time warranty for breaking/chipping on crowns and 10-year limited implant warranty!
TECHNIQUE
Most Dentists

An estimated 99% of dentists still use intra-oral impressions and stone models to restore and design teeth and dental implants. This old school technique yields 40-micron precision (0.0016 inch) at its best…
Dr. Andrews

Dr. Andrews is one of the most advanced CAD/CAM dentists in the world. He uses advanced intraoral digital 3D scanning technology with 10-micron precision (0.0004 inch) which produces a perfect replica for tooth restoration and implant placements…
QUALITY CARE
Most Dentists
Try to find an easy and quick way to treat complicated cases (for example, using the All-On-4 technique). They also use extra-long (ZYGOMA)…
Dr. Andrews
Starts every treatment with thorough diagnostics and case planning. He uses neuromuscular approach to achieve equilibrium…
BONE GRAFT
Most Dentists

Dealing with narrow bone ridges, other dentists do not know how to create enough bone width for wide implants…
Dr. Andrews

Dr. Andrews uses advanced minimally invasive surgical techniques to create bone where he needs it…
IMPLANT WIDTH
Most Dentists

Implants are not placed immediately after extractions. Most dentists wait 4–6 months and their patients loose bone volume (width)…
Dr. Andrews

Places implants immediately after extracting teeth. Dr. Andrews uses no less than 6–7 mm wide implant diameter for molars…

