Smile Makeover
Say Hello to the Smile You Deserve!
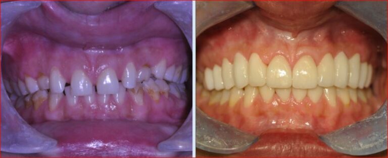
Say hello to the smile you deserve! Dr. Andrews brings over 20 years of expertise in complete dental rehabilitation, combining advanced techniques with a personalized touch. Using Digital Smile Design (DSD) planning, biomimetic dentistry, and biocompatible materials, Dr. Anton Andrews rebuilds smiles that look natural, feel comfortable, and support long-term oral health. From complex restorations to full-mouth transformations, you’ll receive care rooted in precision, science, and aesthetics. Schedule your consultation today—your perfect smile starts here.

Full Smile Rehabiliation
DENTOLOGY has all the tools necessary for your cosmetic dental needs. Come in for a free Smile Evaluation to determine which treatment is right for you!

Veneers
Porcelain Veneers are applied to your front teeth to achieve the Hollywood smile. Veneers are carefully crafted to specification of the smile you desire. You can permanently change the color, shape and length of your front teeth and never have to worry about their appearance again. Veneers will be impervious to biting pressure and temperatures. Once placed, you can quickly return to your eating habits and enjoy your brand-new smile!

Invisalign
Invisalign repositions your teeth without the discomfort of wire braces into a perfect smile! Approximately, every two weeks, you change aligners until your perfect smile is achieved. The best part? Your aligners are made from a thermoplastic material that will appear “invisible”. Dr. Andrews will create a personalized treatment plan and with each visit you will get closer to your ideal smile. Treatment timeline on average is 12 months, but it varies for individuals.

ZOOM Teeth Whitening
Finding an adult without any stains on their teeth is extremely unlikely. Over the years we consume highly pigmented foods, drink coffee, wine and cola, which discolors our teeth. Now, with advanced teeth whitening techniques, you can get rid of your teeth stains. With ZOOM Teeth Whitening, achieve up to 8 shades lighter teeth immediately after the procedure! When you come in to do your whitening in-office, stronger ingredients are used compared to home products.





